
Ongekend scherp beeld van de hersenen uit een Franse MRI-scanner
| snc.com | Door: Redactie
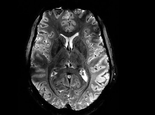
Bron NRC | Zó gedetailleerd zag de wereld de hersenen nooit eerder op een MRI-scan. Franse wetenschappers toonden de afgelopen week de scherpste afbeeldingen van de hersenen ooit, gemaakt met de allerkrachtigste MRI-scanner ter wereld. Die Iseult MRI-machine heeft een magnetische veldsterkte van 11,7 tesla.
Reguliere MRI-scanners in ziekenhuizen hebben een magnetisch veld van 1,5 tesla of 3 tesla. Die brengen details tot zo’n 1 millimeter in beeld. Ze worden bijvoorbeeld gebruikt om tumoren, hersenbloedingen of botbreuken te bekijken. Enkele Nederlandse academische ziekenhuizen en onderzoeksinstituten hebben een MRI-scanner met een veldsterkte van 7 tesla, alleen het MUMC+ in Maastricht heeft sinds 2013 een scanner

De beelden die de nieuwe Franse superscanner kan maken van weefsels en structuren in het lichaam hebben een resolutie van 0,2 millimeter, in digitale ‘plakjes’ van 1 millimeter. In hersenweefsel komt dat overeen met een paar duizend neuronen. De gedetailleerde beelden werden gemaakt in ongeveer vier minuten. Reguliere scanners zouden er uren over doen om dezelfde resolutie te bereiken. Zo lang kunnen proefpersonen of patiënten niet stilliggen.

De
Op de gepresenteerde scans zijn zenuwbanen, bloedvaatjes en de verschillende lagen van de sterk geplooide hersenschors haarscherp zichtbaar. De Fransen durfden de proef met twintig vrijwilligers aan na inventariserende studies in 2021 op een pompoen.
De nieuwe scanner is de afgelopen twintig jaar gebouwd in het Franse Commissariat à l’énergie atomique (CEA), in Saclay, vlak bij Parijs. Hij weegt 132 ton en bevat 182 kilometer aan supergeleidende kabels. Het CEA zegt met de superscanner over enkele jaren betere diagnoses en behandelingen voor ziekten als alzheimer en parkinson te kunnen bieden, en chemische verbindingen in beeld te kunnen brengen, zoals glucose en lithium, een middel tegen bipolaire stoornis.
De Fransen hebben nu dus de krachtigste MRI-scanner. Maar niet voor lang. In Nederland wordt de állersterkste MRI-scanner ter wereld gebouwd, in de Radboud Universiteit in Nijmegen, met een magneetsterkte van 14 tesla. Die zal naar verwachting over drie jaar beschikbaar zijn voor alle wetenschappers in Nederland.
| snc.com | Door: Redactie




































